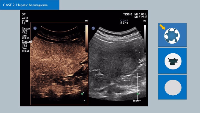
Los agentes de contraste para ultrasonidos pueden transformar el papel que desempeñan los ultrasonidos, pues permiten que los profesionales sanitarios estudien los patrones de mejora de las lesiones hepáticas en tiempo real, lo que ofrece la posibilidad de realizar diagnósticos más definitivos y rápidos.
Con los ultrasonidos de Philips, los ultrasonidos con contraste se integran a la perfección en el flujo de trabajo normal y proporcionan un nivel de detalle excepcional en exploraciones de la fase arterial, portal y tardía. Además, gracias a tecnologías avanzadas como MaxVue, el transductor PureWave C9-2, las imágenes de fusión, la cuantificación integrada mediante las Q-App de Philips y la solución hepática definitiva, ya es posible sentir una seguridad total incluso en las exploraciones más complicadas. Soluciones innovadoras como la tecnología xMATRIX 3D/4D también pueden dar un giro a la evaluación de las lesiones hepáticas, pues proporcionan un método rápido y eficaz de visualizar los vasos nutricios y la respuesta al tratamiento. Existen multitud de avances fascinantes en el campo de los CEUS; haga clic en el enlace para ponerse en contacto con su representante local de Philips.
Rellene el formulario y se pondrán en contacto con usted.

Descubra cómo lograr los mayores grados de fiabilidad, incluso con los pacientes más complicados.

El profesor Dirk-André Clevert, del Hospital Universitario de Múnich, deposita su confianza en Philips para adquirir imágenes con contraste del abdomen.

Descubra cómo la adquisición de imágenes de fusión con registro automático puede tener un efecto positivo en sus procedimientos de CEUS.
La Dra. Teresa Fontanilla, doctora en medicina del Hospital Universitario Puerta de Hierro de Majadahonda, Madrid, habla acerca de su experiencia con la adquisición de imágenes CEUS en un sistema de ultrasonidos Philips.

Nuestra amplia gama de transductores, ergonómicos y ligeros, está disponible en diversas configuraciones y ofrecen una mejor penetración con un menor número de artefactos. Más abajo dispone de más información acerca de toda nuestra gama de transductores, así como instrucciones detalladas acerca de su cuidado y mantenimiento.




You are about to visit a Philips global content page
Continue