Decidir con confianza “tratar” o “no tratar” MAV complejas

 

Su capacidad para ver las patologías extremadamente complejas de las malformaciones arteriovenosas (MAV), las fístulas y otras malformaciones es crucial a la hora de decidir si tratar o vigilar a un paciente. Durante décadas, los neuroespecialistas han confiado en las sofisticadas soluciones de neuroimagen de Philips para respaldar la planificación y las decisiones de tratamiento seguras para las intervenciones de las MAV. Ahora, a medida que el campo se desplaza hacia la monitorización médica de las MAV no rotas, nuestras exclusivas capacidades de imagen pueden volver a marcar la diferencia.

    Productos destacados para este procedimiento

    Soluciones clínicas para monitorear y tratar las MAV

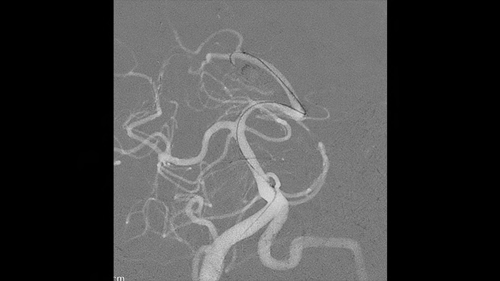
    3DRA MAV

    Vista 3D de la vasculatura heterogénea

     

    SmartCT Angio proporciona una vista volumétrica en pocos segundos para ayudar a evaluar las arterias nutricias, las venas de drenaje, las venas arterializadas, el núcleo y la alteraciones anatomopatológicas rotas o no para guiar la toma de decisiones. Los volúmenes 3D se visualizan con alta resolución espacial y compensación automática del movimiento del paciente para mejorar la vista de los detalles importantes.

    Mejorar la visibilidad de los perforadores

    SmartCT Vaso

    La capacidad de ver la anatomía vascular submilimétrica mejora las posibilidades de éxito y aumenta la confianza en el tratamiento. SmartCT Vaso proporciona imágenes 3D de alta resolución que muestran información clave sobre las estructuras vasculares cerebrales para apoyar la mejor evaluación espacial posible de los vasos en el contexto de los tejidos blandos.

    Explore con confianza a través de estructuras complejas de vasos

    Explorar estructuras complejas de vasos

    SmartCT Roadmap proporciona una superposición de imágenes 3D en vivo que se puede segmentar para

    para enfatizar los vasos y las lesiones objetivo, y facilitar un cateterismo rápido. SmartCT Roadmap superpone una reconstrucción 3D del árbol vascular, los segmentos vasculares o las anotaciones con imágenes fluoroscópicas en vivo.

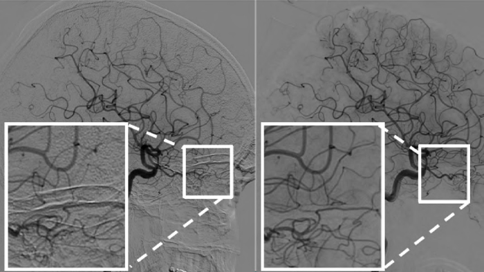
    Diferenciar entre pegamento y error de sustracción

    Pegamento y error de sustracción

    Cuando usted está monitoreando las MAV a lo largo del tiempo, los artefactos de sustracción pueden disfrazar la información clínica. El exclusivo cambio automático de píxeles de ClarityIQ de Philips ayuda a eliminar la información que puede ser engañosa, en tiempo real y sin interacción del usuario.

    Identificar la dirección y llegada del agente embólico líquido

    Límites de la lesión con la hoja de ruta de la TC

    Durante el tratamiento, los artefactos de sustracción pueden oscurecer la dirección en la que viajan los agentes embólicos líquidos. El uso del desplazamiento automático de píxeles en nuestro ClarityIQ le permite ver la dirección en la que viaja el agente embólico líquido y su llegada.

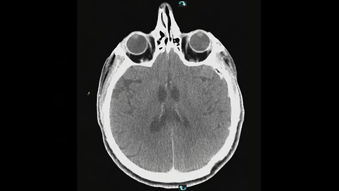
    Comprobar el resultado final y los posibles sangrados

    Aneurisma cerebral

    SmartCT Soft Tissue es una técnica de adquisición de rayos X que genera una vista similar a una TC de tejido blando en relación con otras estructuras durante los procedimientos. Puede utilizar las imágenes similares a la TC después de una MAV para comprobar el resultado final y el potencial sangrado cuando el paciente todavía está en la mesa.

    Ver claramente el agente embólico líquido recién inyectado

    Roadmap Pro Neuro

    El modo de pegamento Roadmap Pro filtra los vasos ya embolizados, lo que le permite centrarse en lo que está inyectando y cómo se está difundiendo.

    Innovaciones del flujo de trabajo para tratar las MAV


    Azurion ofrece una serie de innovaciones de flujo de trabajo diseñadas para ayudar al personal a trabajar de manera eficiente y sencilla, mientras mantiene un enfoque único en el paciente y en la administración de la dosis de radiación durante los procedimiento en MAV.

    Azurion Biplane B20/12

    Vasos nítidos e inmóviles con dosis bajas

    ClarityIQ wheel

    La tecnología ClarityIQ reduce la dosis del paciente en un 75 % en la neuro-ASD1, mientras mantiene una calidad de imagen equivalente, en comparación con un sistema que no cuenta con ClarityIQ. Su compensación automática del movimiento elimina los artefactos del cráneo y del movimiento, lo cual es clave cuando se colocan dispositivos pequeños en la base del cráneo.

    Administrar la dosis y simplificar el flujo de trabajo

    Posicionamiento de cero dosis

    El posicionamiento de dosis cero le ayuda a reducir la dosis al permitirle desplazar la mesa, cambiar la altura de la mesa o mover el sistema de rayos X en la última retención de imagen para determinar la nueva posición central. Esto le ayuda a preparar la siguiente serie sin utilizar la fluoroscopia.

    Control completo desde la mesa dentro del campo estéril

    FlexVision Pro

    Le ofrece acceso directo y control total de las exploraciones diagnósticas preoperatorias, la información del paciente y las herramientas de planificación en la mesa para ahorrar tiempo, y evitar tener que entrar y salir innecesariamente del área estéril.

    Reduzca el tiempo de preparación en el laboratorio en un 12 % con el apoyo de ProcedureCards

    Imagen de ProcedureCards

    ProcedureCards agiliza y estandariza la configuración del sistema y ayuda a reducir los errores de preparación. Seleccione ProcedureCard para MAV y el sistema se configurará de la manera que desee. Los protocolos y/o listas de verificación de aneurismas específicos del hospital se pueden agregar a ProcedureCard y mostrarse en los monitores. Un hospital redujo el tiempo de preparación en el laboratorio en un 12 % con el apoyo de ProcedureCards.2.

    Utilice el reposacabezas para neurocirugía para ayudar a reducir los artefactos de movimiento

    Reposacabezas para neurocirugía

    Se puede utilizar para contener a pacientes inquietos bajo sedación consciente para ayudar a reducir los artefactos de movimiento durante el procedimiento.

    Explore varios procedimientos neurovasculares de terapia guiada por imágenes

    • Tratamiento del accidente cerebrovascular isquémico

      Tratamiento del accidente cerebrovascular isquémico

      Prepárese para asumir nuevos desafíos en el tratamiento del accidente cerebrovascular isquémico.

      Conozca más
    • Tratamiento del aneurisma cerebral

      Tratamiento del aneurisma cerebral

      Soluciones para el tratamiento del aneurisma cerebral para mejorar la certeza durante las intervenciones neurológicas que ofrece la terapia guiada por imágenes de Philips.

      Conozca más

    Referencias

     

    * Como se describe en las Instrucciones de uso de SmartCT.

     

    1. Söderman M, Holmin S, Andersson T, Palmgren C, Babic D, Hoornaert B. Image noise reduction algorithm for digital subtraction angiography: clinical results. Radiology. 2013 Nov;269(2):553-60. Los resultados de la aplicación de las técnicas de reducción de dosis variarán en función de la tarea clínica, el tamaño del paciente, la ubicación anatómica y la práctica clínica. El radiólogo intervencionista, asistido por un físico si es necesario, debe determinar los ajustes adecuados para cada tarea clínica específica. Resultados basados en el producto dosis-área de la ASD por fotograma de un estudio prospectivo aleatorizado de un solo centro con 20 pacientes. Las series de ASD para Allura Xper con ClarityIQ y Allura Xper sin ClarityIQ se adquirieron en el canal frontal y lateral del mismo paciente bajo las mismas condiciones de geometría, campo de visión y protocolo de inyección. La calidad de la imagen se basó en una evaluación subjetiva (puntuación de 1 a 5, 1 = muy mala, 5 = excelente, con revisión a ciego por parte de 3 radiólogos que participaron en el estudio).
    2. En un estudio global con más de 60 usuarios, se muestran los resultados obtenidos durante las pruebas de usuario realizadas en el período de noviembre de 2015 a febrero de 2016. Use-Lab GmbH, una empresa independiente y objetiva de consultoría de ingeniería de pruebas de usabilidad y diseño de interfaces de usuario, diseñó y supervisó las pruebas. En las pruebas participaron 31 profesionales de la salud estadounidenses (16 médicos y 15 técnicos) y 30 profesionales de la salud europeos (15 médicos y 15 técnicos), que realizaron procedimientos con Azurion en un entorno de laboratorio intervencionista simulado.

    Siempre estamos interesados en relacionarnos con usted

    Háganos saber cómo podemos ayudar

    1
    Seleccione su área de interés
    2
    Detalles de contacto

    You are about to visit a Philips global content page

    Continue

    You are about to visit a Philips global content page

    Continue

    Nuestro sitio se puede visualizar mejor con la última versión de Microsoft Edge, Google Chrome o Firefox.