Las intervenciones por cardiopatías estructurales mínimamente invasivas están cambiando el panorama terapéutico. Las demandas de los procedimientos valvulares con catéter y otros procedimientos para cardiopatías estructurales requieren un entorno totalmente integrado y preparado para el futuro que proporcione la imagen correcta y la información correcta en el momento adecuado. Nuestra cartera de SHD está diseñada para que los equipos cardíacos puedan hacer crecer su programa e impulsar las próximas innovaciones para los catéteres mediante la flexibilidad del flujo de trabajo y la integración de imágenes multimodales. Esto mejora la comunicación, permite la eficiencia y proporciona confianza en la guía anatómica, la navegación del dispositivo y la colocación precisa de este.

La suite Azurion SHD se diseñó para adaptarse a sus necesidades de flujo de trabajo, y permite que el sistema funcione sin problemas a su alrededor para que pueda centrarse en su paciente.
El uso de ProcedureCards, el control de la sala al alcance de la mano con una flexibilidad ilimitada y la generación de la fusión en vivo de los datos de imagen críticos en tiempo real mejora la eficiencia del laboratorio y mejora la confianza en cada paso del tratamiento.
En el centro de nuestra suite, la exclusiva solución EchoNavigator es el ejemplo emblemático del compromiso de Philips con la multimodalidad y la integración del flujo de trabajo, aporta lo mejor de ambos mundos del líder de la industria en soluciones cardíacas intervencionistas de rayos X y ecografía.
El recorrido de un paciente que recibe una valvuloplastia aórtica con catéter (transcatheter aortic valve implantation, TAVI) con IntelliSpace CardioVascular
Testimonio de clientes de Hackensack University Medical Center
No habríamos podido desarrollar algunos de estos procedimientos si no hubiéramos sabido que contábamos con capacidades de imagen de vanguardia."
Dr. Adam Greenbaum
MD, FACC, FSCAI Codirector del Centro de cardiopatías estructurales, Hospital Henry Ford, Detroit, Michigan, EE. UU.
El sistema se mueve a nuestro alrededor, en lugar de que nosotros tengamos que movernos en torno al sistema."
Dr. Carlos E. Ruiz
MD, PhD, FACC, FESC, Director de MSCAI, Centro de cardiopatía estructural y congénita, Centro Médico de la Universidad de Hackensack y del Hospital infantil Joseph M. Sanzari, Profesor de cardiología en pediatría y medicina

Implementación de la superposición de la ETE 3D en vivo de la oclusión de la LAA con EchoNavigator

Segmentación del modelo EchoNavigator 3D

Dimensionamiento de la TAVR totalmente automatizado con HeartNavigator

Visualización de la reparación mitral de la regurgitación posimplante

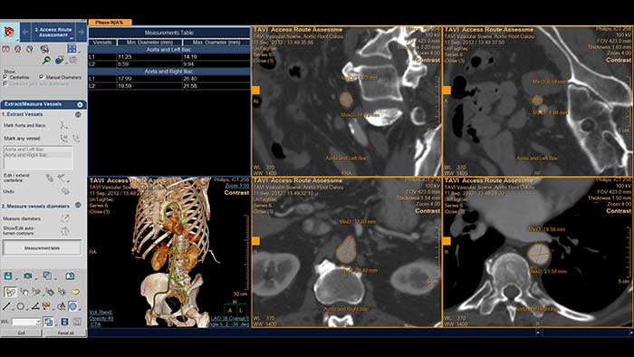
Evaluación automatizada de la ruta de acceso Intellispace Cardiovascular

Reproducción con TrueVue con zoom 3D para LAA con visualización MultiVue

Guía de punción transeptal mediante EchoNavigator

Optimización de la vista de la válvula mitral con modelos de corazón EchoNavigator
Optimización de la vista de la válvula tricúspide con modelos de corazón EchoNavigator

Visualización TrueVue de la valvulopatía mitral de extremo a extremo

Visualización de las válvulas mitral y aórtica con modelos cardíacos EchoNavigator
Soluciones para los procedimientos TAVR y TAVI que ofrece la terapia guiada por imágenes de Philips.
Conozca másSoluciones para intervenciones de la válvula mitral que ofrece la terapia guiada por imágenes de Philips.
Conozca másSoluciones para los procedimientos en la oclusión de la orejuela izquierda (Left Atrial Appendage Occlusion, LAAO) que ofrece la terapia guiada por imágenes de Philips.
Conozca másComplete el formulario y alguien se comunicará con usted.
Entorno clínico
You are about to visit a Philips global content page
Continue