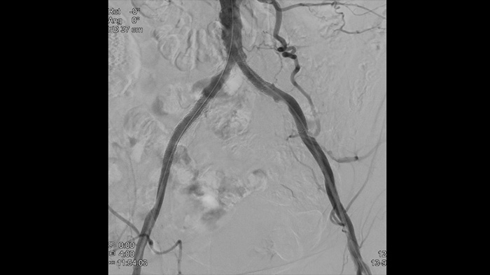
Nuestra suite vascular ofrece opciones de flujo de trabajo, herramientas de intervención especializadas y una amplia selección de dispositivos vasculares avanzados para mejorar la eficiencia del procedimiento y redefinir los resultados para sus pacientes con enfermedad aórtica. Respaldan cada paso del procedimiento, a medida que decide, guía, trata y confirma los resultados del tratamiento.
Después de un mes de uso, hemos pasado el punto en el que el valor clínico de VesselNavigator supera la inversión que hicimos”.
Prof. Dr. F. Vermassen
Hospital Universitario de Gante

Esta es solo una de las muchas mejoras en el rendimiento del laboratorio logradas por el Departamento vascular intervencionista del Hospital St. Antonius después de instalar el sistema Azurion. En el primer estudio de rendimiento del laboratorio con Azurion se lograron resultados impresionantes; esto verificado por un tercero independiente.

Con Philips Azurion se ha logrado un gran avance en la mejora del flujo de trabajo, lo que da como resultado una eficiencia probada. Con el número cada vez mayor de pacientes con enfermedades aórticas, Azurion ofrece una serie de innovaciones de flujo de trabajo diseñadas para ayudar a los equipos de cirujanos vasculares a trabajar de manera eficiente y constante, mientras mantienen un enfoque único en el paciente y administran la dosis de radiación durante las intervenciones.

La ecografía intravascular (EIV) es una tecnología de imágenes basada en catéteres que permite a los médicos visualizar los vasos sanguíneos de adentro hacia afuera para ayudar a evaluar la presencia y el alcance de la enfermedad. La EIV ayuda a decidir, guiar y confirmar el tratamiento intervencionista adecuado para cada paciente.

Visualiza imágenes de alta definición de los vasos con un detalle vascular excepcional para apoyar las estrategias de tratamiento precisas, la navegación y el seguimiento.
Soluciones para los procedimientos de intervención en arteriopatías periféricas (APP) que ofrece la terapia guiada por imágenes de Philips.
Conozca másLas soluciones para procedimientos venosos que ofrece la terapia guiada por imágenes de Philips.
Conozca más Referencias
You are about to visit a Philips global content page
Continue