Resonancia magnética

Un flujo de trabajo revolucionario que ofrece velocidad y productividad de RM

Philips MR Ingenia Prodiva 1.5T


Respalde sus decisiones clínicas aprovechando nuestras soluciones de imágenes basadas en la probada tecnología de banda ancha digital, dStream, presente en más de 2000. Acelere la productividad gracias a la simplificación de Breeze Workflow.

Con una interfaz de usuario intuitiva, mejorada gracias a procedimientos de examen altamente estandarizados y con indicaciones totalmente claras, podrá realizar sus exámenes de RM habituales desde el primer momento. Además, gracias a los reducidos costes de instalación e implementación, a la asistencia continua y a las actualizaciones sencillas, puede seguir ampliando las posibilidades del sistema.

    Ver el tráiler

    Tráiler de Prodiva

    Lo que opinan nuestros clientes acerca de Ingenia Prodiva 1.5T

    Dr. Takahashi

    Dr. Takahashi, radiólogo en el hospital general Seirei-Mikatahara, en Japón, comparte sus experiencias con el sistema de RM Ingenia Prodiva 1.5T.

    Sra. Silvia Schiffer

    La Sra. Silvia Schiffer, directora y radióloga experta en la clínica Radiologie Schiffer, en Alemania, comparte sus experiencias con el sistema de RM Prodiva 1.5T.

    Casos clínicos de otros profesionales médicos con Ingenia Provida 1.5T

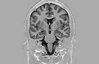
    Cerebro

    Información general sobre el cerebro

    Columna.

    Columna lumbar con mDIXON XD

    Plexo braquial

    Lesión del plexo braquial

    Codo

    Información general sobre los codos

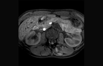
    Hígado y páncreas

    Hígado y páncreas

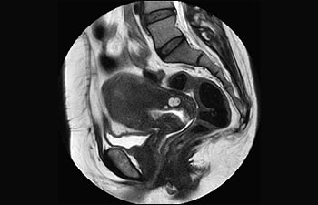
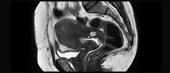
    Pelvis

    Información general sobre la pelvis femenina

    Lesión mamaria

    Lesión mamaria

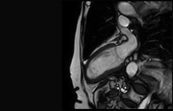
    Infarto agudo de miocardio

    Infarto agudo de miocardio

    Descargas

    NetForum

    Descargar ExamCards de Ingenia Prodiva 1.5T

    ExamCards

    Catálogo de Ingenia Prodiva 1.5T CX

    Acelere la productividad gracias a la simplificación de Breeze Workflow

    Catálogo de Prodiva CX

    Catálogo de Ingenia Prodiva 1.5T CS

    Un flujo de trabajo revolucionario que ofrece velocidad y productividad

    Catálogo de Prodiva CS
    Ingenia Prodiva

    Una excelente incorporación para ampliar el centro de adquisición de imágenes: Ingenia Prodiva 1.5T


    Conozca la opinión de los primeros usuarios de Ingenia Prodiva 1.5T acerca de sus experiencias con el sistema y cómo influye este en su centro de diagnóstico por imagen. 

    Productos relacionados

    Prodiva CX

    Ingenia Prodiva 1.5T CX


    Acelere la productividad gracias a la simplificación de Breeze Workflow.

    Prodiva CS

    Ingenia Prodiva 1.5T CS


    Un flujo de trabajo revolucionario que ofrece velocidad y productividad

    Compressed sense

    Compressed SENSE

    La velocidad correcta, en todo momento.

    3D APT

    3D APT

    Mayor fiabilidad diagnóstica en neurooncología

    Información de contacto

    * Este campo es requerido

    *
    *
    *
    *
    *
    *
    *
    *
    *

    Al especificar su motivo de contacto podremos ofrecerle un mejor servicio.

    We work with partners and distributors who may contact you about this Philips product on our behalf.

    *
    *

    Final CEE consent

    1De acuerdo con un estudio interno en el que se compara el flujo de trabajo con el equipo de RM Achieva.

    2 ComforTone estará disponible con Prodiva 1.5T en el cuarto trimestre de 2017

    3 De acuerdo con un estudio interno donde se compara el flujo de trabajo en una combinación de aplicaciones cerebrales, musculoesqueléticas, de columna y de cuerpo con el equipo de RM Achieva

    4 La operación normal se define como una adquisición típica realizada con suministro continuo de electricidad, así como de refrigeración del imán, sin incluir las actividades de servicio

    5 En función del contrato y de la disponibilidad local

    6 Con "otros equipos de RM" nos referimos a equipos de RM de 1,5 T de 60 cm para exámenes de cuerpo entero

    You are about to visit a Philips global content page

    Continue

    You are about to visit a Philips global content page

    Continue

    Nuestro sitio se puede visualizar mejor con la última versión de Microsoft Edge, Google Chrome o Firefox.