
Los sistemas de ultrasonidos para adquisición de imágenes hepáticas de Philips aportan las herramientas necesarias para evaluar y tratar las enfermedades hepáticas. La elastografía por onda transversal, combinada con nuestra extraordinaria calidad de imagen, ofrece métodos no invasivos y rentables dirigidos a recopilar datos adicionales para la evaluación de las enfermedades hepáticas.
No es ningún secreto que las enfermedades hepáticas suponen un problema sanitario cada vez mayor en todo el mundo. Según los Centros para la Prevención y Control de las Enfermedades, las enfermedades hepáticas son la decimosegunda causa de muerte en EE. UU. De hecho, muchas personas padecen hepatitis C y es posible que ni siquiera lo sepan. La biopsia hepática ha sido durante décadas el método habitual para evaluar estas enfermedades; no obstante, el dolor, el gasto y el tiempo de espera asociado a este procedimiento han supuesto un obstáculo para algunos pacientes. Gracias a las innovaciones que ha llevado a cabo Philips en el sistema de ultrasonidos EPIQ, ahora existe una solución integral para ayudar a los profesionales sanitarios a evaluar, tratar y supervisar numerosas enfermedades hepáticas.
Rellene el formulario y se pondrán en contacto con usted.

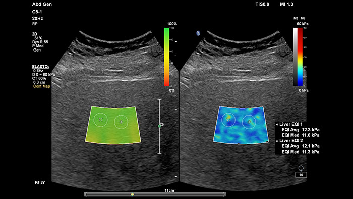
La elastografía por ultrasonidos de onda transversal ofrece un método no invasivo, reproducible y fácil de poner en práctica para evaluar la rigidez tisular. Los estudios realizados apuntan a que, en lugar de un costoso y doloroso procedimiento de biopsia, una sencilla exploración por ultrasonidos con elastografía de onda transversal podría convertirse en el procedimiento habitual para evaluar el estado de las enfermedades hepáticas. La elastografía por onda transversal de alto rendimiento de las imágenes con ElastQ incluye la evaluación cuantitativa de la rigidez tisular, codificada con colores, en extensas regiones de interés (ROI) en tiempo real. Las imágenes con ElastQ también ofrecen la posibilidad de efectuar mediciones retrospectivas en imágenes almacenadas; además, una exclusiva pantalla con un mapa de confianza emplea el análisis inteligente para ofrecer la garantía adicional de que las mediciones del usuario se han obtenido en zonas tisulares con una propagación adecuada de ondas transversales.
La tecnología PureWave Crystal supone el mayor avance en material de transductores piezoeléctricos en 40 años. Los cristales de PureWave son puros y uniformes, un 85 % más eficientes que el material piezoeléctrico convencional, con lo que se obtiene un rendimiento excepcional. Esta tecnología está integrada en nuestros transductores C5-1, C9-2 y X6-1 y permite una mejor penetración en pacientes con dificultades técnicas, al tiempo que mantiene excelentes resultados en cuanto a resolución de detalles, sensibilidad Doppler y rendimiento de CEUS.
Los agentes de contraste para ultrasonidos pueden transformar el papel que desempeñan los ultrasonidos hepáticos, pues permiten que el usuario estudie los patrones de mejora de las lesiones hepáticas sospechosas en tiempo real, lo que ofrece la posibilidad de realizar diagnósticos más fiables y rápidos. Con EPIQ de Philips, los CEUS se integran a la perfección en el flujo de trabajo normal y proporcionan un nivel de detalle excepcional en exploraciones de la fase arterial, portal y tardía. Además, EPIQ ofrece el mayor nivel de fiabilidad posible para la detección y caracterización de lesiones, incluso en las exploraciones más difíciles; esto es posible gracias a tecnologías avanzadas al alcance de su mano, entre las que cabe mencionar las siguientes: pantalla MaxVue FHD, transductor PureWave C9-2, imágenes de fusión y cuantificación Q-App.
La fusión de imágenes combina las ventajas inherentes de la adquisición de imágenes de multimodalidad directamente en el sistema de ultrasonidos mediante seguimiento electromagnético. Al combinar TC/RM/PET con ultrasonidos en tiempo real y la posición en tiempo real del paciente, el profesional sanitario cuenta con una potente herramienta de diagnóstico y, al mismo tiempo, limita la radiación debido a que se necesitan menos exploraciones de confirmación; de este modo, se potencia la productividad del departamento. EPIQ, con su exclusivo sistema de ultrasonidos con inteligencia anatómica (AIUS), ofrece fusión de imágenes con registro automático de volúmenes de TC/RM y ultrasonidos, tarea para la que se emplea una décima parte del tiempo que suele durar la alineación. La navegación guiada por aguja es una herramienta que mejora el rendimiento en las intervenciones hepáticas más complejas; además, se ha demostrado que mejora el flujo de trabajo y reduce la exposición a la radiación al necesitarse menos exploraciones de confirmación. EPIQ de Philips incluye una gama completa de soluciones, entre las que cabe destacar las siguientes: CIVCO eTrax™, el localizador de aguja adaptativo de Philips y los localizadores de aguja coaxial de Philips. De esta manera, el profesional sanitario, al disponer de una compatibilidad tan amplia con los dispositivos de biopsia y ablación, es libre de elegir las mejores herramientas para el procedimiento en función del grado de complejidad.

La medición de la rigidez hepática se obtiene en cuestión de segundos por medio de una sencilla exploración no invasiva.

Los agentes de contraste para ultrasonidos pueden transformar el papel que desempeñan los ultrasonidos, pues permiten que los profesionales sanitarios estudien los patrones de mejora de las lesiones hepáticas en tiempo real, lo que ofrece la posibilidad de realizar diagnósticos más definitivos y rápidos. Con los ultrasonidos de Philips, los ultrasonidos con contraste se integran a la perfección en el flujo de trabajo normal y ofrecen un nivel de detalle excepcional.

Tome decisiones con seguridad incluso en casos diagnósticos complicados con ayuda de las funciones de fusión de imágenes y navegación guiada por imagen de Philips. El flujo de trabajo agilizado permite que los profesionales sanitarios consigan una fusión eficaz de TC/RM/PET con ultrasonidos en tiempo real; a su vez, la navegación guiada por aguja ayuda a guiar la biopsia de lesiones pequeñas y de difícil acceso.




You are about to visit a Philips global content page
Continue