
Compre su Lumify en la tienda online de Kaika.

Iniciar el tratamiento con un diagnóstico preciso
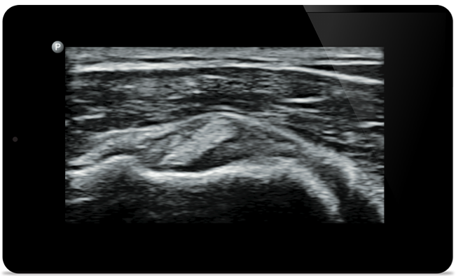
Lumify le ayuda a ver los detalles finos de los músculos, las articulaciones, los ligamentos, los tendones y los cartílagos para hacer un diagnóstico más preciso de las lesiones.

Responda rápidamente con imágenes de todo el cuerpo
Lumify puede ayudarle a evaluar a los pacientes de la cabeza a los pies, ya sea fascitis plantar, tendinitis o bursitis en el tendón rotuliano, o incluso inestabilidad del hombro en el manguito rotador.

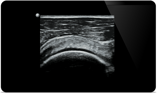
Obtenga la claridad de los sistemas de ultrasonido más grandes con Lumify
SonoCT refuerza la obtención de imágenes de tejidos reales a la vez que elimina los artefactos aleatorios. Esta tecnología produce imágenes superiores a las imágenes convencionales en hasta el 94 % de los pacientes.


, Universidad Charles Sturt














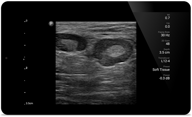
• Rango extendido de frecuencias de 5 a 2 MHz • Radio de curvatura de 50 mm • 2D, Doppler a color, Modalidad M, XRES avanzado e imágenes armónicas multivariables, SonoCT • Imágenes de alta resolución para aplicaciones más profundas: optimizaciones preestablecidas de imágenes abdominales, de vesícula biliar, gineco-obstétricas y pulmonares



Video
Artrocentesis de rodilla
guiada por ultrasonido

Caso de estudio
Desgarro del tendón supraespinoso

Guía rápida
Artrocentesis de cadera guiada por ultrasonido
You are about to visit a Philips global content page
Continue